
SIARE va a migrar a una nueva web a partir del 28 de julio de 2025.
Durante este periodo de migración no será posible introducir datos en la antigua web, por lo que se recomienda a los usuarios que descarguen sus datos para tener una copia personal.






SIARE va a migrar a una nueva web a partir del 28 de julio de 2025.
Durante este periodo de migración no será posible introducir datos en la antigua web, por lo que se recomienda a los usuarios que descarguen sus datos para tener una copia personal.
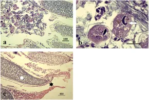
Our results further validate the previous molecular detections and experimental evidence suggesting the parasite’s potential for cross-taxon infection, raising concerns about the overlooked potential prevalence of I. multifiliis in wild amphibians. Leer más.

A University of Cambridge-led team has analyzed giant anaconda fossils from South America to deduce that these tropical snakes reached their maximum size 12.4 million years ago and have remained giants ever since. Leer más.

A tiny 242-million-year-old fossil from Devon is shaking up scientists’ assumptions about the earliest members of the lizard lineage. Instead of the expected skull hinges and palate teeth typical of modern lizards and snakes, this ancient creature shows a surprising mix of primitive and unusual traits—along with strikingly large, blade-like teeth. Leer más.

A newly identified crocodile relative from Egypt pushes back the origins of the marine-hunting dyrosaurids by millions of years. The fossil, Wadisuchus kassabi, shows a mix of primitive and advanced traits that mark a key evolutionary transition. Leer más.

The size of reptile home ranges can vary drastically depending on the population density, habitat characteristics, availability of food and many other factors (Day, 2012; O’Donnell and delBarco-Trillo, 2020). Leer más